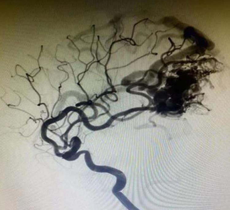
Lava -12 intrakranialni anevrizmi tekoči embolični sistem
Ko lavaTmIntrakranialni anevrizmi tekoči embolični sistem se v stiku s krvjo ali katero koli vodno raztopino, njegova površina se bo takoj utrdila in tvorila zaščitni film. DMSO v emboličnem sredstvu razredčimo in razpršimo v krvi, tako da se tantalni prah, zavit z Evoh, obori in utrdi od zunaj do znotraj. Hkrati se Lava pod tlakom vbrizga razprši do daleč. Končno tvori gobasto embolično telo v položaju embolizacije.

LavaTmSistem anevrizma embolizacije je izdelan iz nelepljivega materiala, zato je bolj varen in nelepljen kateter.
To je edinstvena formula z nizko viskoznostjo s celotnim razponom modelov lava -12, lava -18 in lava -34.
Ima boljšo disperzijo in penetracijo. in lahko globoko prodre v lezijo in doseže distalno posodo.
Tantalum v prahu je bolj lepši, počasneje obori in bolj jasno radiografija v primerjavi s konkurenti.

Opombe zaIntrakranialni anevrizmi tekoči embolični sistem
● Upoštevajte, ali se tekoče embolično sredstvo lave utrdi, če je tako, ga je treba najprej odtakniti.
● Na vibrator postavite tekoče embolično sredstvo lave.
● Prilagodite vibrator na visoko raven.
● Ne manj kot 20 minut za tresenje
● Dokler se ne uporablja.
|
Koda izdelka |
Viskoznost |
Opisi |
|
Lava -12 |
12 CST |
Nižja viskoznost, več tekočine za distalne mikrovese; |
|
Lava -18 |
18 CST |
Standardna formula, splošna uporaba; |
|
Lava -34 |
34 CST |
Večja viskoznost, za žile z visokim pretokom. |











